
Is Bone-on-Bone Knee Arthritis Really Bone on Bone?
If you’ve been told your knee is “bone on bone,” chances are that phrase created fear instantly.
Many people hear it and assume:
“My knee is destroyed.”
“Nothing can help now.”
“I need surgery immediately.”
“I just have to live with the pain.”
But the truth is more nuanced.
“Bone on bone” is a common phrase used to describe advanced arthritis changes on imaging. It does not always mean your knee is beyond help, and it does not automatically mean surgery is your only next step.
For many adults, there may still be ways to improve pain, function, strength, and mobility naturally before replacement becomes necessary.
Been told you’re bone-on-bone and not sure what to do next? Schedule a Free Knee Relief Discovery Call here.
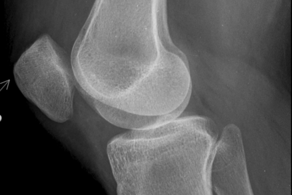
What Does “Bone-on-Bone” Actually Mean?
Usually, the phrase refers to reduced joint space seen on an X-ray.
That means the cushioning cartilage between the bones has worn down significantly in part of the joint.
Doctors may use the term to explain:
Advanced osteoarthritis
Narrowed joint spacing
Bone spurs
Stiffness and degeneration
Inflammation-related pain
But an X-ray is only one piece of the story.
It shows structure — not function.
That means two people can have similar X-rays and very different symptoms.
One person may struggle to walk.
Another may still golf, travel, and function fairly well.
Pain Does Not Always Match the X-Ray
This is one of the biggest misunderstandings in knee care.
Many people assume:
Worse X-ray = worse pain
But pain is influenced by many factors:
Inflammation
Swelling
Muscle weakness
Instability
Loss of motion
Poor movement patterns
Reduced circulation
Nervous system sensitivity
That means improving the environment around the knee can sometimes create meaningful relief — even if arthritis exists.
Related Reading:
Why the “Bone-on-Bone” Label Can Be Harmful
When people hear scary labels, they often stop moving.
They begin to think:
“Exercise will make it worse.”
“I should rest all the time.”
“My knee is fragile.”
“Nothing can improve this.”
But excessive rest often leads to:
More weakness
More stiffness
Worse balance
Less confidence
More pain over time
Movement done correctly is often one of the most important tools for arthritic knees.
Related Reading:
Can a Bone-on-Bone Knee Improve Without Surgery?
Sometimes, yes.
To be clear: conservative care does not magically create a brand-new knee overnight.
But many people can still improve:
Pain levels
Walking tolerance
Stair function
Stability
Swelling
Daily mobility
Activity confidence
This happens by focusing on what can still be improved:
1. Strength
The muscles around the knee help absorb force.
2. Stability
Better control reduces stress inside the joint.
3. Mobility
Improved movement mechanics matter.
4. Inflammation
Reducing irritation often changes symptoms significantly.
5. Circulation
Healthier tissue support matters.
Related Reading:
When Surgery May Truly Be the Right Choice
There are cases where knee replacement may become appropriate, especially when:
Severe loss of function continues
Pain is constant despite proper conservative care
Daily life is heavily limited
Sleep is consistently disrupted
Quality of life is poor
Surgery can be life-changing for the right candidate at the right time.
But the key question is:
Is it necessary now, or are there still reasonable options first?
Related Reading:
Questions to Ask Before Accepting the Label
If someone told you that you’re bone-on-bone, consider asking:
How severe is it really?
Is it one compartment or the whole knee?
What function can still be improved?
Have I tried a structured conservative plan?
What are my current non-surgical options?
Is surgery urgent, or elective timing?
Those answers matter.
Want honest guidance on whether surgery is truly the next step—or if there may be other options first? Book your Free Knee Relief Discovery Call here.
What Many People Miss
A painful knee is not just a cartilage problem.
It is often a combination of:
Joint wear
Weakness
Compensation patterns
Inflammation
Reduced movement
Loss of confidence
That means a better plan often looks beyond the X-ray.
Who Often Benefits Most From Non-Surgical Help First
You may be a strong candidate if you:
Want to delay or avoid premature surgery
Still want to stay active
Can walk but with pain
Have stiffness and swelling
Have tried shots or meds already
Want realistic guidance, not hype
Final Thoughts
Being told your knee is “bone on bone” can feel discouraging.
But it does not automatically mean you are out of options.
Many people can still improve function, comfort, and confidence by addressing the factors around the joint before rushing into surgery.
The smartest next step is getting clarity on where you truly stand now.
Find out if your knee may still respond to a non-surgical approach. Schedule your Free Knee Relief Discovery Call today.
